Skip to content
認識萊德
理念
媒體分享專區
最新消息
牙醫團隊
阮柏升醫師
湯仁牧醫師
尹鉦雅醫師
曾芳儀醫師
陳加晉醫師
郭子豪醫師
劉佳怡醫師
陳昱愷醫師
數位植牙
萊德植牙優勢
三合一即拔即植
瑞士Straumann水植體
水雷射微創植牙
PRF生長因子補骨植牙
4D導航植牙
植牙費用
植牙簡介
植牙過程
一日全瓷
顯微根管
水雷射
牙科知識
文章專區
植牙
DSD微笑設計
全瓷冠
一日全瓷
牙齒美白
牙周病
顯微根管
齒顎矯正
牙科治療
隱形矯正
牙周病
牙齒美白
舒眠牙醫
全瓷冠
一般牙科
智齒拔除
齒顎矯正
隱形矯正
自鎖式矯正器
尖端設備
水雷射設備
顯微鏡
3D齒雕研磨機
3D斷層掃描
加拿大4D導航植牙機
3Shape Trios數位口腔掃描機
美國epic 10 二極體電射
瑞士Bien Air電動手機
德國VDW Gold根管治療儀
案例分享
案例分享-植牙
全口重建植牙
All on 4植牙
角化牙齦增加合併植牙
PRF補骨植牙
鼻竇增高術植牙
4D導航植牙
門牙即拔即植,當日有牙
後牙即拔即植
數位導板植牙
水雷射微創植牙
案例分享-矯正
案例分享-美白
案例分享-一日美齒
案例分享-全瓷冠
案例分享-貼片
案例分享-3D齒雕
24H服務專線:0800-885-283
預約看診
選單
Close
認識萊德
理念
媒體分享專區
最新消息
牙醫團隊
阮柏升醫師
湯仁牧醫師
尹鉦雅醫師
曾芳儀醫師
陳加晉醫師
郭子豪醫師
劉佳怡醫師
陳昱愷醫師
數位植牙
萊德植牙優勢
三合一即拔即植
瑞士Straumann水植體
水雷射微創植牙
PRF生長因子補骨植牙
4D導航植牙
植牙費用
植牙簡介
植牙過程
一日全瓷
顯微根管
水雷射
牙科知識
文章專區
植牙
DSD微笑設計
全瓷冠
一日全瓷
牙齒美白
牙周病
顯微根管
齒顎矯正
牙科治療
隱形矯正
牙周病
牙齒美白
舒眠牙醫
全瓷冠
一般牙科
智齒拔除
齒顎矯正
隱形矯正
自鎖式矯正器
尖端設備
水雷射設備
顯微鏡
3D齒雕研磨機
3D斷層掃描
加拿大4D導航植牙機
3Shape Trios數位口腔掃描機
美國epic 10 二極體電射
瑞士Bien Air電動手機
德國VDW Gold根管治療儀
案例分享
案例分享-植牙
全口重建植牙
All on 4植牙
角化牙齦增加合併植牙
PRF補骨植牙
鼻竇增高術植牙
4D導航植牙
門牙即拔即植,當日有牙
後牙即拔即植
數位導板植牙
水雷射微創植牙
案例分享-矯正
案例分享-美白
案例分享-一日美齒
案例分享-全瓷冠
案例分享-貼片
案例分享-3D齒雕
24H服務專線:0800-885-283
預約看診
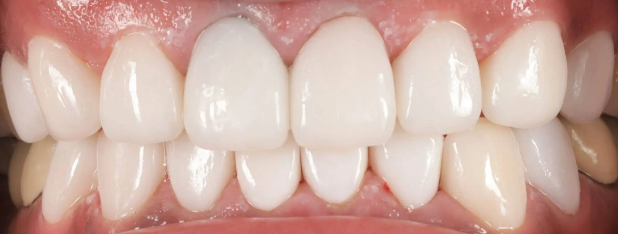
牙齒美白案例分享
Whitening Cases
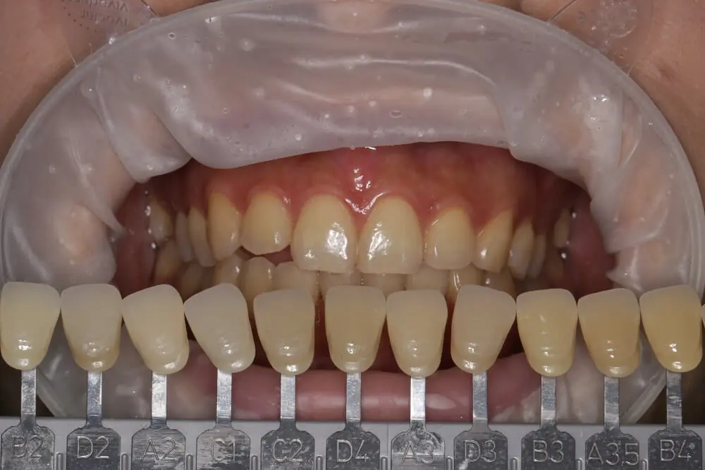
案例1.
下排門牙 • 陶瓷貼片
美白
關縫
Before
8小時
完成
After
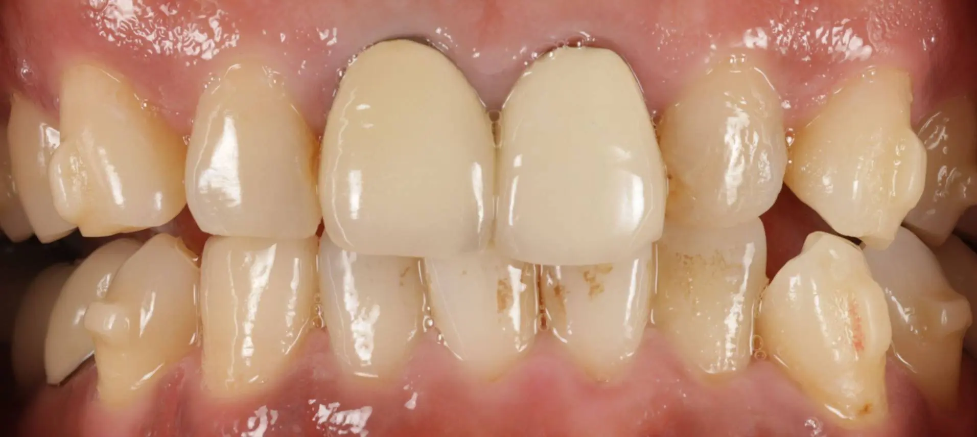
案例2.
上顎 • 陶瓷貼片美白
下顎 • 冷光美白
牙齒外型調整
表面變色樹脂處理
Before
1日
完成
After
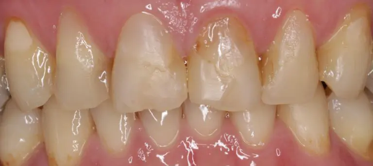
案例3.
雷射美白
Before
1小時
完成
After
案例4.
全口16顆貼片
微矯正效果
微笑曲線設計
美白色
Before
一日
完成
After
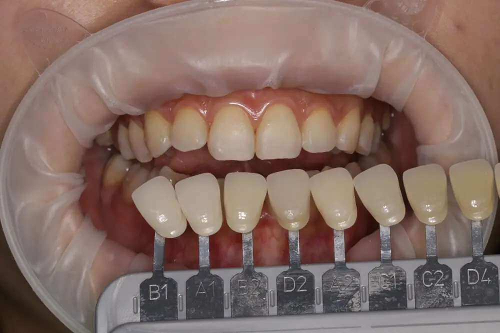
案例 5. 更換20年的上排舊假牙
上顎8顆全瓷冠
微笑曲線設計
自然美白牙色
關黑三角縫
一日完成
Before
一日
完成
After
聲明
:
本所療程皆由專業醫生評估後,依照個人口腔狀況進行治療。因每位患者個別狀況不同,術後狀況也不盡相同,需親來本所由醫生評估。
免費預約專線 >
線上諮詢表單 >